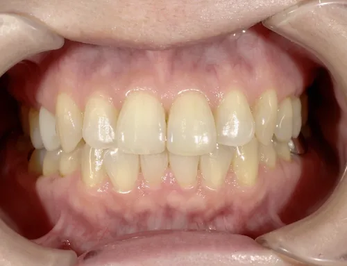
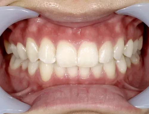
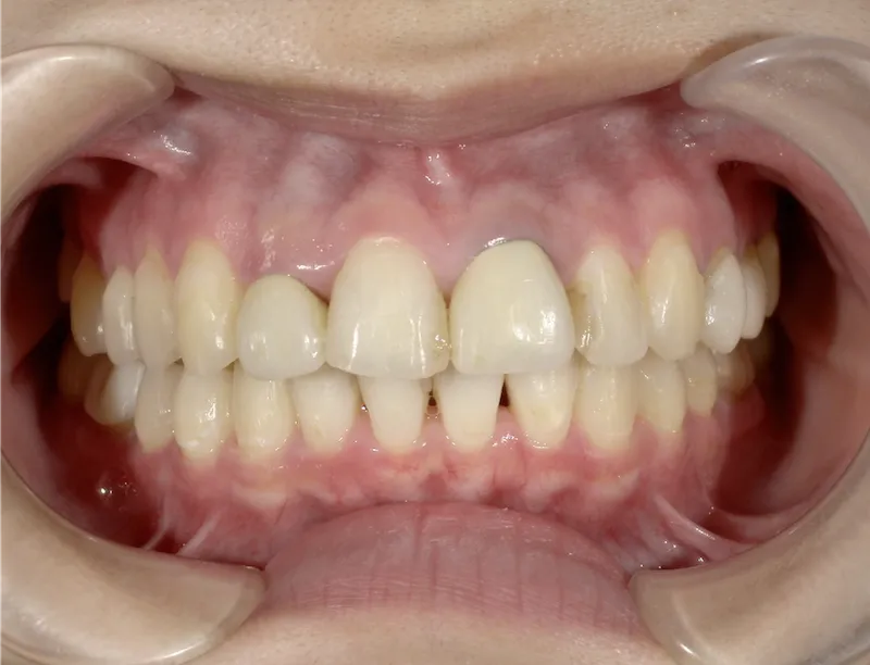
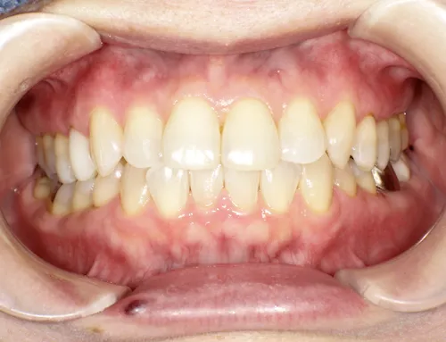
サロンではできない
歯科の医療ホワイトニング
痛くない・しみないのに、45分で白くなる。
痛くない・しみないのに、
45分で白くなる。
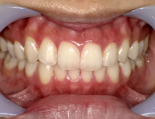
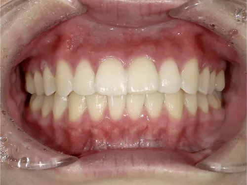
サロンではできない
歯科の医療ホワイトニング
初回19,800円(税込)
痛みの少ない
医療用薬剤
45分の短時間施術



LINEで








